Anasayfa » chatgpt fotoğraf analiz etme » ChatGPT’nin Görsel Analiz Yetenekleri : Sonuçlar Şaşırttı

ChatGPT’nin Görsel Analiz Yetenekleri : Sonuçlar Şaşırttı

by Kazım Yazıcı

Bu gelişmenin gücü diğer gelişmelere karşılık çok daha etkili olduğunu belirtebiliriz ve son derece önemlidir. Bu nedenle bu konuyu tek bir konuya ayırdık. ChatGPT ve diğer LLM’lerin (Büyük Ölçekli Dil Modelleri) neler yapabileceğini hepimiz az çok biliyoruz. Ancak son güncellemeyle birlikte artık birden fazla JPEG ve PNG dosyası yükleyebilir ve sohbet hattının sol tarafındaki görsel simgesine tıklayarak soru sorabilirsiniz. Aşağıdaki ekran görüntülerine yakından bakalım, çünkü bu hayatınızı değiştirecek. “Yükle” simgesinin gücü inanılmazdır. Sanırım bunun nedeni hayatımızın bir kısmını yüklememizdir. Geçen sefer de yazdığım gibi yapay zeka artık bizi izliyor. Bu makalenin sonunda Chatgpt görsel analiz yeteneklerine şaşıracaksınız.

chatgpt görsel yükleme

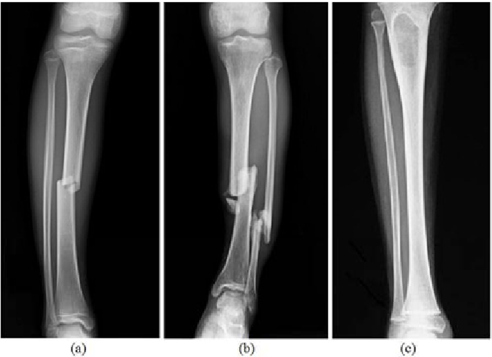
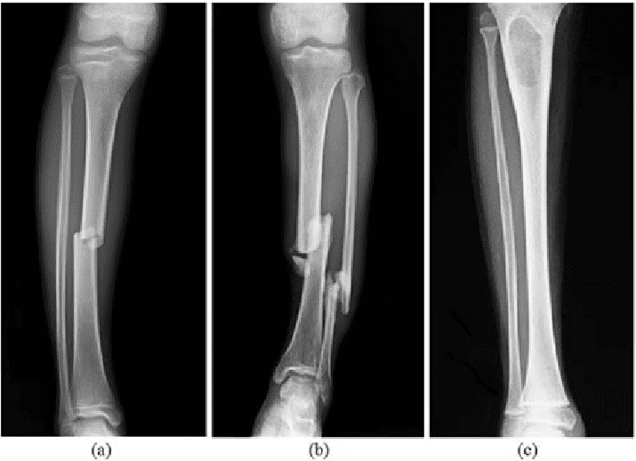
Bir röntgen çıktısı ekleyerek sonuçlara bakalım..

Bir fotoğrafın okunarak analiz edilmesi daha öncesinde var olan yapay zeka dil modellerinde yer almayan bir özellikti. Chatgpt’nin yeni yayınlanan güncellemesiyle beraber değişen şey aslında tam olarak bu oldu. Artık fotoğraflarınızı yükleyebilir ve Chatgpt üzerinden isteklerinizi talep edebilirsiniz. Makalenin devamında hepimizi şaşırtacak ve yapay zekanın geleceğimiz açısından hangi noktalarda yer alacağını daha rahat anlayacaksınız.

chatgpt görsel analiz

Fotoğrafımızı yükledik ve görüntüyü inceleyerek teşhis koymasını talep ettik. Aldığımız sonuç son derece şaşırtıcı ve büyüleyici oldu.

chatgpt fotoğraf analiz etme

Doğru tespit ve teşhis

Yüklediğimiz fotoğrafın ne olduğunu tespit etti. Bu bir röntgen fakat yapay zeka belli algoritmaları aşamadığı taktirde siyah-beyaz bir fotoğraf. Baktığımız zaman bu durum yapay zeka için eski fotoğraf makinesi ile çekilmiş nostaljik bir kareyi anımsatabilir. Fotoğraf karesi üzerinde doğru tespit yapmakla kalmadı. Bununla birlikte kırık yerlerin analizini çıkartarak teşhiste koydu.

Bir başka örnekle devam edelim.

chatgpt fotoğraf yükleme

Buzdolabının içinde yer alanları gösteren bir fotoğraf yükleyeceğim. Ve içinde yer alan yiyecek ve içeceklerin ne oldukları, ortalama olarak kalori hesaplamasını isteyeceğim.

chatgpt görsel analiz etme yeteneği

Bir web sitesinin fotoğrafını yükleyip “Benim gibi bir şey tasarla ve kodla” diyen birinden, buzdolabındaki yemeğin fotoğrafını yükleyip tarif isteyen birine kadar, olasılıklar sonsuzdur. Elinizdeki farenin fotoğrafını çekip chatgpt görsel analiz yeteneği ile modeline bakabilirsiniz. Okulun üçüncü katına çıkıp sıradaki öğrencilerin fotoğrafını çekip kaç kişi olduğunu sorabilirsiniz. Sanatsal bir fotoğraf yükleyebilir ve birinden benzer bir fotoğraf oluşturmak için bir DALL-E istemi yazmasını isteyebilirsiniz. Hem dijital ortamda hem de gerçek hayatta birçok şeyi kopyalayabilirsiniz. Azıcık endişeliyim. Bu teknoloji beni biraz korkutuyor. En azından ben böyle hissediyorum.

Kaynak : Apparently ChatGPT can analyze images… : r/ChatGPT (reddit.com)

You may also like

Bir Cevap Yazın

Kurucu & Editör

Kazım Yazıcı

Bu blogu kurma fikri, sektördeki hızlı gelişmeleri ve yenilikleri takip etme arzumdan doğdu. Amacım, bu karmaşık görünen teknoloji dünyasını daha anlaşılır ve erişilebilir kılmak, aynı zamanda bu alanda bilgi paylaşımını teşvik etmekti. Deltastech, bu vizyonun bir ürünü olarak ortaya çıktı.

@2023, Tüm hakları Deltastech üzerinde saklıdır.

Deltastech sitesinden daha fazla şey keşfedin

Okumaya devam etmek ve tüm arşive erişim kazanmak için hemen abone olun.

Okumaya Devam Edin